About Us Services Gallery Technology Contact Book Now

Clarity in Diagnosis,
Confidence in Care.

Welcome to Liberty Imaging Center, Dhaka's premier destination for advanced CT scans. We utilize the Siemens SOMATOM go.Now for unparalleled precision and patient comfort.

Schedule Your Appointment
Advanced CT Scanner at Liberty Imaging Center

Why Trust Liberty Imaging?

We are dedicated to providing a superior diagnostic experience from start to finish.

Advanced Technology

High-resolution Siemens CT scanner with AI-powered workflows for accurate diagnoses.

Expert Radiologists

Reports analyzed by graduates of Bangladesh Medical University and experienced professionals from DMFR Molecular Lab.

Rapid Reporting

Comprehensive reports delivered swiftly via WhatsApp for your convenience.

Affordable Excellence

Top-tier diagnostic services at competitive prices. Contact us for pricing details.

Patient-Centric Care

Your comfort and safety are prioritized in our modern facility.

Prime Location

Conveniently located at Paribagh, Shahbagh, with easy access and parking.

Why Choose a CT Scan?

Understand the advantages of CT scans for accurate and timely diagnoses.

Detailed Imaging

CT scans provide cross-sectional images, allowing for early detection of conditions like tumors or strokes.

Fast and Non-Invasive

Quick scans with minimal discomfort, ideal for urgent diagnoses.

Our Comprehensive CT Scan Services

Utilizing our advanced technology, we offer a wide array of diagnostic scans.

Scan Type Primary Use Details
Head CT Scan Brain & Skull Evaluation Detects tumors, strokes, hemorrhages, and traumatic injuries.
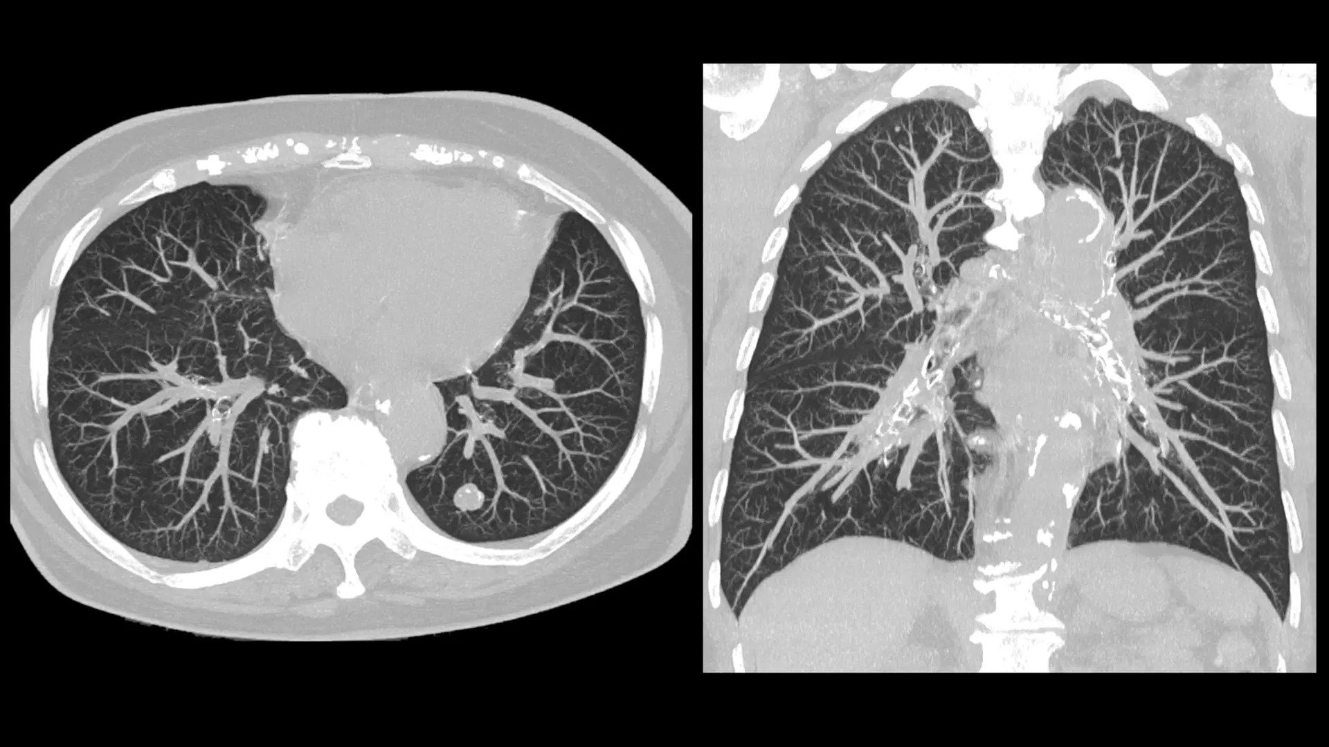
Chest CT Scan Lungs & Heart Imaging Identifies infections, tumors, pulmonary embolisms, and thoracic issues.
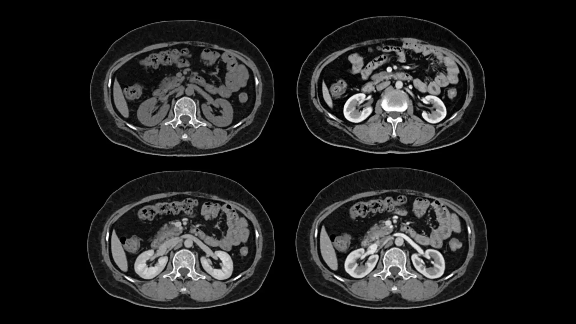
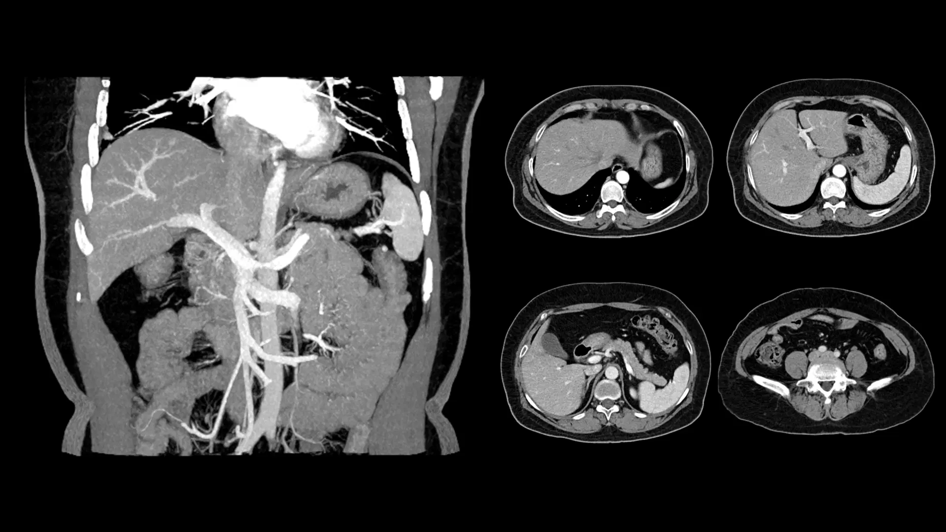
Abdomen & Pelvis CT Internal Organ Assessment Evaluates liver, kidneys, pancreas, spleen, and reproductive organs.
CT Angiography (CTA) Blood Vessel Visualization Detailed images of arteries and veins to detect blockages or aneurysms.
Contrast & Non-Contrast Enhanced Imaging Standard and contrast-enhanced scans for superior detail when needed.
Siemens SOMATOM go.Now CT Scanner
Our Technology

Siemens SOMATOM go.Now

Our Siemens SOMATOM go.Now CT scanner sets new standards in medical imaging with faster scans, lower radiation doses, and high-quality images. Its AI-supported automation and mobile workflow enhance efficiency and patient comfort.

  • Low-Dose Radiation: Significant dose reduction for patient safety.
  • High-Resolution Imaging: Exceptional detail for confident diagnoses.
  • AI-Powered Workflow: Automation ensures consistency and efficiency.
  • Mobile Workflow: Allows radiologists to stay close to patients, improving comfort.

What Our Patients Say

Real feedback from individuals we've served.

"The seamless process at Liberty Imaging was impressive. My chest CT scan results were delivered quickly via WhatsApp, helping my doctor start treatment promptly."

- Fatima R., Dhaka

"I was nervous about my head CT scan, but the staff made me feel at ease. The modern facility and quick reporting were outstanding."

- Hasan M., Dhaka

Frequently Asked Questions

How should I prepare for my CT scan?

Wear comfortable clothing and remove jewelry or metal objects. For contrast scans, follow specific fasting instructions provided.

How long does a CT scan take?

The scan takes a few minutes, with total appointment time around 15-30 minutes, including preparation.

Is a CT scan safe?

Yes, our Siemens SOMATOM go.Now uses low-dose radiation, making it safe with minimal risks.

How and when will I get my results?

Reports are delivered via WhatsApp within hours, with detailed copies available for your doctor.

What is the cost of a CT scan?

Costs vary by scan type. Please contact us at 01322-620043 for pricing details.

Get in Touch

We are here to assist you. Book your appointment or ask any questions.

8/2, Motaleb Tower, Paribagh, Shahbagh, Dhaka-1000